BBC News
Neobičan način na koji vaša koža oblikuje vaše zdravlje
Oštećena ili nezdrava koža je postala glavni faktor rizika kod skoro svake bolesti vezane za starenje, od Parkinsonove bolesti, pa sve do dijabetesa tipa 2.
Kanuom se probijam kroz klisuru Ardeš u južnoj Francuskoj - i pritom privlačim začuđene poglede.
Rano je popodne vrelog julskog dana, a nebo izgleda kao savršeno, kobaltno-plavo platno.
Iako je reka oivičena visokim liticama i odronima krečnjaka visokim i do 300 metara, samo isijavanje sunčevih zraka je za mene i više nego vidljivo.
Zraci pretvaraju površinu vode u vijugavu stazu blještućeg i zaslepljujućeg svetla.
Ništa ne prepuštam slučaju; znalački, poput iskusnog istraživača koji se zaputio kroz Saharu.
Moj odevni komplet je, kako kaže moj momak, ,,izuzetan" - i to ne koristi kao kompliment.
- Novo otkriće bi moglo da doprinese usporavanju starenja kože
- Vitiligo: Promene na koži koje vode od stida do prihvatanja
- „Boriš se svaki dan, želiš da ga maksimalno iskoristiš": Priče ljudi iz Srbije sa najtežim oblikom raka kože
Moje ruke, šake i torzo su potpuno pokriveni majicom sa dugim rukavima sa SPF zaštitom - naručenom preko interneta ni manje ni više nego iz ozonom osiromašene Australije - dok je moja glava u potpunoj senci koju pravi savitljivi ribolovački šešir sa štitnikom za lice.
Finalnu odbranu čini nekoliko slojeva kreme za sunčanje visokog faktora zaštite, tako da delovi moje kože izložene suncu imaju bledunjavi, bolesni odsjaj titanijumski bele boje.
Tu su i naočare za sunce.
Moj partner ne propušta priliku da mi svakih deset minuta napomene kako sam odevena kao neka velika beba.
Bez obzira na sve, moja taština nema granice i ja sam odlučna da izbegnem bilo kakvo starenje prouzrokovano sunčevim zracima.
No, da li postoje i neke skrivene koristi koje donose ovako drastične mere?
Da li je, u stvari, moguće da moja opsesija održavanja kože zdravom predstavlja slučajni potez vredan jednog genija? Odgovor na oba ova pitanja je, kako će se ispostaviti - potvrdan.
Najnovija istraživanja kažu da naša koža nije samo ogledalo našeg stila koji odslikava godine pušenja, konzumiranja alkohola, upijanja sunčevih zraka i stresa, već i naznaka našeg unutrašnjeg zdravlja. U ovom novom, naopakom svetu, najveći ljudski organ je aktivni učesnik u našem fizičkom zdravlju.
Ovo je ta nova realnost u kojoj bore, suva koža i pege izazivaju starenje, umesto da je situacija obrnuta.
Čudnovato otkriće
Iste one 1958. godine, kada je u Sjedinjenim državama izglasan zakon koji će dovesti do sletanja na Mesec i stvaranje NASA-e, u tišini je začet još jedan veliki projekat.
Baltimorska longitudinalna studija starenja je trebalo da predstavlja naučno istraživanje starenja sa jednom poprilično smelom i neuobičajenom premisom.
Pre toga, standardna naučna praksa je pokušavala da prikupi saznanja iz fiziologije živih ljudi putem disekcije doniranih leševa - praksa koja vodi poreklo iz tradicije raskopavanja i pljačkanja grobova u XIX veku. Ovog puta, međutim, istraživanje je otpočinjalo mnogo ranije, dok bi srce i dalje kucalo, a tela i dalje bila živa.
Ovakvo istraživanje, koje je trajalo decenijama, bavilo se hiljadama odraslih muškaraca (kasnije i žena) i pratilo razvoj njihovog zdravlja i način na koji su na njega uticali geni i životna sredina.
Samo dve decenije kasnije, naučnici su već ostvarili neka intrigantna otkrića, od onog da su emotivno nestabilni muškarci bili podložniji srčanim oboljenjima, pa sve do otkrića da naše sposobnosti za rešavanje problema samo neznatno opadaju tokom starenja.
Ali jedno od najšokantnijih otkrića je potvrdilo ono u šta su ljudi već duže vremena sumnjali - mladalački izgled je neverovatno precizan odraz unutrašnjeg zdravlja.
Do 1982. godine, oni muškarci za koje je procenjeno da izgledaju starije za svoje godine na početku istraživanja, 20 godina ranije, uglavnom su bili mrtvi. Ovakve rezultate potvrđuje i nedavno obavljeno istraživanje koje je otkrilo da pacijenti za koje je procenjeno da izgledaju barem 10 godina starije nego što je to pokazivao datum njihovog rođenja, u 99 odsto slučajeva imaju zdravstvene probleme.
Ispada da stanje naše kože može da se iskoristi u svrhu predviđanja mnogih naizgled nepovezanih faktora, od gustine kostiju do rizika od oboljevanja od neurodegenerativnih bolesti ili smrti od kardiovaskularnih oboljenja.
Međutim, kako su dokazi počeli da se prikupljaju, priča je dobila i neočekivani obrt.
Da li je koža samo puki pokazatelj nakupljenih oštećenja, ili je cela stvar mnogo komplikovanija?
Da li bi ona, u stvari, zdrave ljude mogla da održi zdravim, a one koji imaju problema sa zdravljem da povuče još dublje?
Drugačija vrsta rođendana
Postoje dva glavna načina za određivanje starosti neke osobe. Prva predstavlja standardni model poznat i kao hronološka starost - koja se meri obrtajima oko sunca.
Ali tu je i biološka starost koja pokazuje tempo vašeg fizičkog starenja i zrelost vaših organa i ćelija. Ona u velikoj meri varira od osobe do osobe, ali čak i unutar istog organizma.
Kako godine prolaze, uobičajeno je mišljenje da će naša hronološka starost kad-tad da se odrazi i na naš izgled: koža postaje tanja i neujednačenija, smenjuje se njena elastičnost, a ćelije odgovorne za proizvodnju pigmenta i kolagena odumiru ili stare - što znači da prestaju da se obnavljaju i ostaju u nekoj vrsti uspavanog stanja.
Ali upravo je naša životna sredina ta koja nam nanosi ozbiljnu štetu.
Iako je ultra-ljubičasto B zračenje (UVB) ono koje oštećuje naš DNK - što vodi ka izgoreloj koži na suncu, mutacijama i raku kože - 95 odsto totalnog UV zračenja koje stigne do površine Zemlje je ultra-ljubičasto A zračenje (UVA).
Ova porcija sunčevih zraka ima veću talasnu dužinu koja im dozvoljava da prodru dublje u dermis, razgrade kolagen i stimulišu ćelije na proizvodnju melanina.
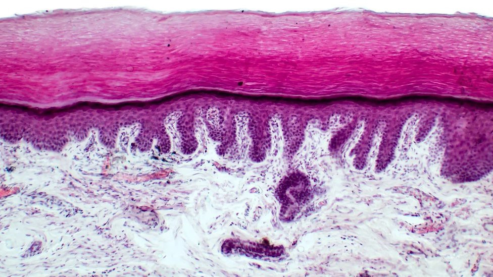
Na mikroskopskom nivou, (foto) ostarela koža - koža oštećena suncem - je deblja, sa deformisanim elastinom i vlaknima kolagena.
Takva koža je vidno i neravnomerno pigmentisana i poseduje značajno više nabora.
Ovo se odnosi i na veoma svetlu kožu koja nije u stanju da potamni i na Ficpatrikovoj skali ima oznaku 1, ali i na veoma tamnu kožu sa oznakom 6 koja se, netačno, naziva kožom koja nikada ne može da izgori. Čak i izuzetno pigmentirana koža može da izgori i da bude podložna foto-starenju, iako će njoj biti potrebno više vremena da se nabora.
Smatra se, u stvari, da su unutrašnji faktori odgovorni za najsitnije detalje koji kožu čine naizgled „ostarelom", dok je UV zračenje odgovorno za više od osam odsto vidljivih promena na koži.
Ako ste ceo život proveli unutra, sa navučenim zavesama, moguće je da se na vašoj koži neće videti značajne promene sve do 80-ih godina života.
Ključno je, međutim, to da vaša koža takođe prolazi i kroz hemijske promene.
I moguće je da upravo to može da ima najveći uticaj na naše opšte zdravlje.
- Pažljivo sa kremama za sunčanje
- Kreme za sunčanje: „Za mazanje je potrebno dvoje“
- Osteoporoza, reumatska bolest koja nema simptome
Hemijski koktel
Radikalno novi koncept se pojavio na početku novog veka, 2000. godine.
Grupa naučnika iz Bolonje u Italiji je, proučavanjem načina na koji stres utiče na organizme, pronašla novi način na koji se može razmišljati o starenju.
Kod mlade, zdrave osobe imuni sistem ravnomerno održava red krpljenjem nanete štete i odbijanjem infekcija.
Ali kako starimo, ili oboljevamo, odgovor našeg organizma na zapaljenske procese počinje da prelazi kritičnu granicu i da preterano oslobađa mnoštvo potentnih hemikalija koje zatim divljaju našim telom, uništavaju zdrave ćelije i razaraju našu DNK.
Otuda imamo hronično zapaljenje - postepena zapaljenja koja učestvuju u procesu starenja.
Ovde se u priču uključuje koža.
Najnovija istraživanja otkrivaju da naborana, obolela ili oštećena koža postaje deo zapaljenskog sistema koji oslobađa hemijski koktel koji opet vodi ka daljim oštećenjima i zapaljenjima.
„Hronološki ostarela koža pokazuje više nivoe na panelu zapaljenskih citokina i hemokina", kaže Mao-Kjang Man, naučnik-istraživač na Univerzitetu u Kaliforniji u San Francisku, koji tvrdi da isto to važi i za suncem oštećenu kožu.
Lokalno, ove hemikalije degradiraju kolagen i elastin, izazivajući time dalje tanjenje kože, bore i smanjenu elastičnost, objašnjava Tuba Musarat Ansari, istraživačica na postdoktorskim studijama na japanskom medicinskom univerzitetu Đići.
„Oni (takođe) remete zidove kože, pospešuju povećan gubitak vode i podložnost izazivačima stresa", kaže ona.
Povratna sprega je dodatno zakomplikovana starenjem ćelija kože - izazvanog bilo UV zračenjem, bilo starenjem - što dodatno stvara zapaljenske hemikalije.
Ali sve ovo je samo početak.
Koža, kao najveći organ u telu, ima suštinski uticaj na ovaj proces.
Hemikalije koje oslobađa obolela i nefunkcionalna koža brzo dospevaju u krvotok i počinju da oštećuju i druga tkiva.
Usled posledičnog i sistemskog zapaljenja, hemikalije iz kože su u stanju da dosegnu i da oštete i organe sa kojim nemaju nikakve veze - a tu spadaju i srce i mozak.
Rezultat svega ovoga je ubrzano starenje i povećan rizik od razvitka većeg dela - ili čak i svih - srodnih poremećaja.
Ostarela ili oštećena koža je do sada bila povezivana sa pojavom kardiovaskularnih bolesti, dijabetesa 2 i kognitivnih pogoršanja, kao i Alchajemrove i Parkinsonove bolesti.
Iako su nam svima dobro poznati rizici koje donose pušenje, alkohol, preteran unos hrane i nedostatak fizičke aktivnosti, može se reći da je obolela koža kao fenomen slona u sobi - faktor koji svi rutinski previđamo.
Dobra vest je to da još mnogo stvari možemo da uradimo na poboljšanju ovog problema.
Vlažnost kože
Prvi korak u zaštiti kože, a samim tim i, kako kaže ova teorija, opšteg zdravlja, jeste izbegavanje sunca.
Najčuveniji metod je australijski protokol „Slip, Slop, Slap" (navuci, nanesi, nabaci) iz 1981. godine.
On je danas proširen na pet centralnih načela; navuci majicu (ili još bolje - neku drugu zaštitnu odeću), nanesi kremu za sunčanje sa visokim faktorom zaštite, nabaci na glavu šešir za širokim obodom, natakni na sebe neke naočare za sunce i nestani sa sunca u pravcu hlada.
Dodatno tome, ukoliko odnos između oštećenja kože i bolesti izazvanih starenjem nije dovoljno ubedljiv da natera ljude da nose šešire sa širokim obodom i stavljaju kremu za sunčanje, postoje još dva veoma dobra razloga da to ipak pokušaju.
Prvi je taj da zaštitom kože od sunca ekstremno efektno sprečavamo vidljive znake starenja.
U jednoj od ranih studija je otkriveno da oni koji svakodnevno koriste kremu za sunčanje širokog spektra SPF15 tokom četiri i po godine ne pokazuju bilo kakve znake starenja tokom tog perioda.
Sve se to dešava uprkos činjenici da ovako nizak faktor obično štiti kožu od sunčevih opekotina 15 puta duže nego što koža bez ikakve zaštite može da izdrži - tako da ako vaša koža počinje da crveni nakon 10 minuta, sa ovakvom kremom ćete biti u stanju da na suncu ostanete čitavih 150 minuta (dva i po sata).
Štaviše, krema za sunčanje iz eksperimenta nema specifikovan nivo zaštite od UVA zračenja koje predstavlja uzrok starenja kože.
U mnogim delovima sveta proizvodi koji štite kožu od sunca moraju, da bi bili klasifikovani kao proizvodi iz širokog spektra, da dokažu da ne apsorbuju ili reflektuju samo UVB (označeno SPF gradacijom), već i UVA zračenje. U svakom slučaju, stepen njihove uspešnosti poprilično varira.
Dermatolozi preporučuju da na etiketi uvek proverite i zaštitu od UVA zračenja koje je obično označeno sa UV-PF ili PPD.
Drugi razlog je postojanje jakih dokaza da kreme za sunčanje mogu da spreče skoro sva zapaljenja koja se dešavaju kada je koža izložena suncu - što predstavlja i prvi korak ka razvitku bolesti vezanih za starenje.
Ovo, međutim, nije jedini način da vašu kožu održite u dobrom stanju.
Najjednostavniji način zaštite zdravlja ovog organa je, zapravo, hidratacija kože.
Postoji i direktni dokaz da hidratacija ublažava zapaljenje, ali i da može da pomogne u sprečavanju demencije.
Pored neravnomerne boje kože i nabora, i hronološki i suncem oštećena koža je osetno suvlja.
Nivoi vlažnosti ljudske kože najviši stepen dostižu negde oko 40 godine života, nakon čega strmoglavo počinju da opadaju i proizvode sve manje količine prirodnih ovlaživača - lipida, filagrina, sebuma i glicerola.
Ovo predstavlja problem, jer je dehidrirana koža manje efikasna kao barijera između unutrašnjosti našeg tela i spoljnog sveta.
Kada nam je koža isušena i ljuskasta, njeni uobičajeni zadaci - zaustavljanje infektivnih agenasa, toksina i alergena i održavanje kože vlažnom - postaju još značajniji i izazovniji.
U svakom slučaju, naknadno ovlaživanje nije naročito komplikovano, bez obzira na to šta nam govorile reklame za kozmetiku.
A na polju starenja, ova jednostavna intervencija daje izuzetne rezultate.
U jednoj studiji na kojoj je radio tim istraživača iz raznih zemalja - među njima je bio i Man - zatražio je od starijih dobrovoljaca da dva puta dnevno tokom mesec dana nanose kremu.
U poređenju sa starijim učesnicima koji nisu imali nikakav tretman, njihova koža je bila značajno regenerisana, a imala je i niže nivoe kod tri različite klase zapaljenskih hemikalija.
Ovako obećavajući rezultati su bili ispraćeni još jednom studijom koju je sproveo ovaj isti tim, a u kojoj su učestvovale odrasle osobe preko 65 godina.
Oni su nanosili hidratantnu kremu dva puta dnevno tokom tri godine.
Kognitivne funkcije učesnika istraživanja su bile izmerene na početku i na kraju studije, a nakon tri godine - iako je kontrolna grupa značajno zabeležila pad - oni koji su nanosili hidratantnu kremu nisu zabeležili pogoršanje.
„Opadanje nivoa hidratacije epidermalnog sloja je najverovatnije glavni uzročnik zapaljenja", kaže Man koji objašnjava i da se zbog toga što suva koža pokazuje tendenciju ka višim nivoima zapaljenja pojavljuje i svrab kože.
A ukoliko podlegnete impulsu da se počešete - da, pogodili ste - samo zapaljenje postaje izraženije.
Ipak, kaže Man, mnogi prirodni sastojci mogu da pomognu.
To su glicerol, petrolatum, hijaluronska kiselina i lipidi koji se obično nalaze u ovom sloju kože - normalni sastojci najbazičnijih hidratantnih krema.
Moguće je i da najobičnije ispijanje vode u većim količinama može da pomogne u hidrataciji kože, iako su dokazi za to prilično mutni - neke studije tvrde da nema uporišta u takvim tvrdnjama, dok druge kažu da to ipak može da pomogne.
Ne postoji studija koja se direktno bavila ovim kao načinom za sprečavanje inflamacije ili povezanih bolesti.
Da biste bolje vizualizovali domet uticaja kože na ostatak tela, pomislite na to koliko kože imate, a onda se setite da, baš kao što ste verovatno i očekivali, sva ta koža koju možete da vidite na spoljnjem delu vašeg tela, istu tu površinu zauzima i sa unutrašnje strane. A kada vam je koža oštećena, svaki njen centimetar je u stanju da oslobađa toksične hemikalije.
Zbog toga se zaštita kože od uticaja sunčevih zraka zaista isplati - ali ne zaboravite nikada ni na hidrataciju.
Odoh ja sada po moj SPF50+, naočare za sunce, suncobran i onaj blesavi šeširić kakav nose ribolovci…i mam još neka posla u bašti.
Pogledajte video: Koža joj izgleda kao krljušt, ali ona ne odustaje
Pratite nas na Fejsbuku, Tviteru, Instagramu, Jutjubu i Vajberu. Ako imate predlog teme za nas, javite se na [email protected]
